Честный подход за разумные деньги
Восстановление
всех зубов за 1 день
Ежедневно без перерывов
с 9:00 до 19:00
Подбираем импланты и процесс лечения лично под каждого пациента
Имплант 49 900 руб.
35 000 руб.
Полная диагностика
эксперта-имплантолога
со стажем 15+ лет
Для любого
возраста
План лечения
под ваш бюджет
По фиксированной
цене
Рассчитайте стоимость вашего лечения, ответив всего на 4 вопроса
Отличное качество
Выгодная цена
Приживаемость 99,8%
Установим импланты без боли и отеков в Тюмени с пожизненной гарантией
по европейской технологии день-в-день
Акция!
КТ-снимок 3500 в подарок
только до конца месяца
Проведем все этапы лечения любой сложности
за 1 день и дадим пожизненную гарантию на импланты
За 1 минуту пройдите тест и узнайте стоимость имплантации для вашего случая + план лечения под ваш бюджет и консультацию эксперта-имплантолога в подарок
Цапенко Сергей Сергеевич
Ведущий хирург-имплантолог
Полная диагностика эксперта-имплантолога со стажем более 15 лет
Подбор имплантов, которые подойдут вам на 100%
План лечения под ваш бюджет
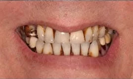
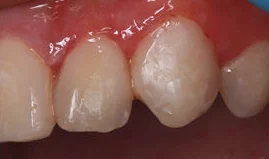
Наши пациенты уже решили проблемы со своими зубами
Огромная благодарность врачам клиники «DEMERTA» за внимание и качественную работу. Результат превзошел все ожидания!
Подбираем импланты и процесс лечения
индивидуально под каждого пациента
Опытные
специалисты
Проводим лечение
любой сложности
без стресса
МЫ ЭКСПЕРТЫ ПО ВОССТАНОВЛЕНИЮ ЗУБОВ
15+
1700+
Вести ваше лечение будут хирурги и ортопеды со стажем более 15 лет
Провели более 1200 установок одиночных
имплантаций и более 500 по методам All-on-4/All-on-6
Беремся за сложные случаи, максимально исключаем риски
Операции в клиники проводим ежедневно
Протез за 1 день - это реально
Один раз и на всю жизнь
Ведущий хирург-имплантолог клиники «Demetra»
Никончук Евгений Евгеньевич
По фиксированной цене
Успешно применяем системы имплантов в соответствии
с мировыми стандартами
Вся продукция имеет сертификаты
Быстрое приживление - импланты покрыты
составом, который ускоряет приживление
Высокая биосовместимость с живой
тканью: снижает риск отторжения и аллергии
Суперпрочность: при правильном уходе
имплант служит пожизненно
Приемлимая цена, при сравнении
с имплантами европейских производителей
На все импланты производители дают пожизненную гарантию
После установки импланта в нашей клинике получаете международный сертификат - паспорт, который подтверждает качество установочных имплантов
Импланты, которые мы применяем, признаны на международном уровне и используются более чем в 70 странах
Наши импланты прошли проверку времени. Большая клиническая база и опыт научных исследований более 20 лет
При изготовлении применяются
современные технологии: обработка
поверхности, дизайн импланта
и безупречная точность соединения
ПОКАЗАНИЯ К ИМПЛАНТАЦИИ ЗУБОВ
Отсутствие даже одного зуба влечет за собой
массу негативных последствий
Потеря одного зуба
Отсутствие двух/трех единиц подряд
Полная адентия (беззубная челюсть)
Нежелание носить съемные протезы
Зубы становятся
подвижными,
перемещаются, это
влияет на прикус
Снижается качество
пережевывания пищи,
что влечет за собой
проблемы с желудочно-
кишечным трактом
Происходит изменения
черт лица, западение
щек, преждевременное
появление мимических
морщин в области губ
Появляются проблемы
с дикцией, речь
становится невнятной,
нарушается артикуляция
Узнайте все о подходящем вам лечении
Продлите свою красоту и молодость с помощью протезирования на имплантах
Приглашаем вас на бесплатный прием к эксперту
На приеме:
Стоматолог подберет импланты, которые
подойдут вам на 100%, под ваш бюджет
и состояние челюсти
Выяснит противопоказания и состояние здоровья
для того, чтобы исключить все риски
Предоставит подробный, поэтапный план лечения:
что будет делать, в каком порядке
Проговорит сроки лечения каждого этапа
Рассчитает стоимость конкретно под ваш бюджет
и индивидуальные рекомендации
Никончук Евгений Евгеньевич
Ведущий врач клиники
Запишитесь на консультацию и получите заключение
от специалиста высшей категории
Новые зубы по европейской технологии за 1 день
Подходит пациентам в любом возрасте
Восстановление 1
или нескольких зубов
Восстановление зубов
All-on-4 (всё на 4-х)
Восстановление зубов
All-on-6 (всё на 6)
Зуб сильно разрушен
или подлежит удалению
Имплант устанавливается
одновременно с удалением
зуба или после подготовки
Решение проблемы:
сделал и забыл
Быстрое решение
функциональной проблемы
Бюджетная стоимость:
протез фиксируется
на 4-х имплантах
Зубы не отличаются
от натуральных
Жевательная функция
восстанавливается
полностью
Можно восстановить
зубной ряд в самых
сложных случаях
При воспалительных
процессах мягких тканей
и пародонтозе
При долгом отсутствии зубов
от 11 990 рублей
199 000 рублей
299 000 рублей
Минимум
противопоказаний
Процедура имплантации помогает
Этапы имплантации
Имплантация
Забудьте о дискомфорте и боли, начните жевать сразу
и получайте наслаждение от вкуса еды
Воссоздать целостность зубного ряда
Сделать прикус эстетически безупречным
Восстановить жевательные функции
Остановить процесс атрофии костной ткани
Этапы установки имплантов
  1. Титановый имплант устанавливается в кость
  2. Процесс приживления импланта (остеоинтеграция)
  3. Установка абатмента на имплант
  4. Установка металлокерамической или циркониевой коронки
Консультация имплантолога
Подбор имплантационной системы.
Составление плана лечения. Подготовка (при необходимости) терапия, ортодонтия
Хирургический этап
Плановые операции перед имплантацией:
удаление зуба, синус-лифтинг. Проводятся по показаниям. Установка импланта. Период приживления от 1 до 6 месяцев (индивидуально)
Ортопедический этап
Снятие слепков, изготовление коронки/конструкции в зуботехнической лаборатории. Установка абатмента (опорная часть для фиксации коронки). Фиксация постоянной коронки.
Рассчитайте стоимость имплантации индивидуально для вас
Ответьте на 4 вопроса и получите расчет стоимости лечения прямо сейчас
Создаем все условия для максимально комфортного лечения
Установка импланта — это не сложнее, чем удалить зуб и занимает в среднем около 1 часа
ИМПЛАНТАЦИЯ - ЭТО НЕ БОЛЬНО
Процедура проходит под местной анестезией
новейшего поколения: кроме прикосновений стоматолога пациент ничего не чувствует
  • На десну наносим обезболивающий гель
  • Для уколов используем ультратонкие иглы
  • Используем лучшую европейскую анестезию
  • Ставим импланты через микронадрез
Чутко и бережно во время процедуры, врач успокаивает и расслабляет
Ответит на ваши вопросы
Снимает сомнения
После процедуры врач даст
рекомендации для восстановления
Наша стоматология оснащена в соответствии со стандартами цифровых стоматологий
Каждый 4-ый пациент приходит к нам по рекомендации своих друзей и знакомых
1
2
3
4
5
6
7
8
9
10
Работаем без скрытых платежей и с двойной гарантией
Имплант 29 900 руб.
В стоимость входит:
Консультация врача имплантолога
План лечения
Выбор имплантов
Анестезия
Имплант
Заглушка
на имплант
Операция
Наложение
и снятие швов
Работа имплантолога
Осмотры
Пожизненная гарантия на импланты
Гарантия 1 год на работу
от 19 990
Даем тройную гарантию по договору
Гарантия на коронки
Никончук Евгений Евгеньевич
Челюстной-лицевой хирург,
хирург-имплантолог
Более 1 300 операций по одиночной имплантации, All-On-4 и All-On-6
Специализация на имплантации любой сложности, одномоментной имплантации, All-on-4 и All-on-6, а также пластике десны
Стаж более
5 лет
Восстановил
500 улыбок
Дипломы
и сертификаты
Получите план лечения от экспертов в области имплантации
Доступные цены на имплантацию зубов «под ключ»
Даем конкурентную цену благодаря прямому сотрудничеству с производителями имплантов и качественной диагностике
Запишитесь на консультацию и получите полную диагностику
от эксперта-имплантолога со стажем более 5 лет совершенно бесплатно
На консультации вы получите:
Запишитесь на консультацию
Подробный план лечения:
по шагам и срокам каждого этапа
Расчет стоимости конкретно под ваш бюджет с учетом состояния зубного ряда
Подбор имплантов, которые подойдут вам на 100%
Сообщение об успешной отправке!
Ждем вас в клинике
«DEMERTA»
Адрес: 625000, г.Тюмень,
ул.Герцена, д.53, 1 этаж
Ежедневно: 9:00-21:00

Восстановление
всех зубов за 1 день
Честный подход за разумные деньги
Ежедневно с 9:00 до 21:00
ⓒ 2024 Все права защищены
ИМЕЮТСЯ ПРОТИВОПОКАЗАНИЯ, НЕОБХОДИМА КОНСУЛЬТАЦИЯ СПЕЦИАЛИСТА
Любая информация, предоставленная на данном сайте,
в частности, касающаяся характеристик, наличия, стоимости объектов
носит исключительно информационный характер и ни при каких условиях
не является публичной офертой, определяемой положениями статьи 437 ГК РФ
ООО  «Дентал Арт Клиник»
№ ЛО72-01-002738 от 22 марта 2018
625000, г.Тюмень, ул.Герцена, д.53, 1 этаж
Made on
Tilda